おかげさまで開設25周年MATAAGROUP.COM 創業祭

MATAAGROUP.COM

詳しくはこちら
マイストア マイストア 変更
  • 即日配送
  • 広告
  • 取置可能
  • 店頭受取

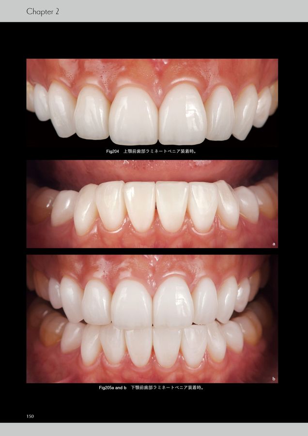
HOT ! 【裁断済】 イノベーション・オブ・ラミネートベニア 20年の臨床と研究が示す価値 イノベーション・オブ・ラミネートベニア: 20年の臨床と研究が

※MATAAGROUP.COM 限定モデル
YouTuberの皆様に商品の使い心地などをご紹介いただいております!
紹介動画はこちら

ネット販売
価格(税込)

17400

  • コメリカード番号登録、コメリカードでお支払いで
    コメリポイント : 13ポイント獲得

コメリポイントについて

購入個数を減らす
購入個数を増やす

お店で受け取る お店で受け取る
(送料無料)

受け取り店舗:

お店を選ぶ

近くの店舗を確認する

納期目安:

13時までに注文→17時までにご用意

17時までに注文→翌朝までにご用意

受け取り方法・送料について

カートに入れる

配送する 配送する

納期目安:

2026.02.24 13:37頃のお届け予定です。

決済方法が、クレジット、代金引換の場合に限ります。その他の決済方法の場合はこちらをご確認ください。

※土・日・祝日の注文の場合や在庫状況によって、商品のお届けにお時間をいただく場合がございます。

即日出荷条件について

受け取り方法・送料について

カートに入れる

欲しいものリストに追加

欲しいものリストに追加されました

【裁断済】 イノベーション・オブ・ラミネートベニア 20年の臨床と研究が示す価値 イノベーション・オブ・ラミネートベニア: 20年の臨床と研究がの詳細情報

イノベーション・オブ・ラミネートベニア: 20年の臨床と研究が。イノベーション・オブ・ラミネートベニア - クインテッセンス出版。イノベーション・オブ・ラミネートベニア。裁断済みであることも含め、『全体的に状態が悪い』としております。イノベーション・オブ・ラミネートベニア。梱包は丁寧に行いますが、上記状態であることをご了承下さい「イノベーション・オブ・ラミネートベニア : 20年の臨床と研究が示す価値」大河雅之定価: ¥ 40000#大河雅之 #本 #自然/医療・薬学・健康
  • イノベーション・オブ・ラミネートベニア: 20年の臨床と研究が
  • イノベーション・オブ・ラミネートベニア - クインテッセンス出版
  • イノベーション・オブ・ラミネートベニア
  • イノベーション・オブ・ラミネートベニア

同じカテゴリの 商品を探す

ベストセラーランキングです

このカテゴリをもっと見る

この商品を見た人はこんな商品も見ています

近くの売り場の商品

このカテゴリをもっと見る

カスタマーレビュー

オススメ度  4.3点

現在、2943件のレビューが投稿されています。